
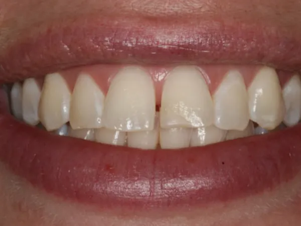
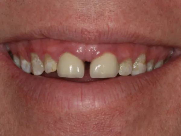
Transform your smile in just a few visits with custom porcelain veneers. Conceal chips, stains, gaps, and crooked teeth while adding strength and natural beauty.
Schedule NowDo smile imperfections make you feel self-conscious? Porcelain veneers in Salt Lake City, UT are a fast, effective cosmetic dentistry solution for correcting common appearance issues without orthodontics. They can make dramatic improvements to your smile by concealing cracks, stubborn stains, gaps, and crookedness and even provide renewed strength. Veneers are slender yet durable coatings that adhere to the front of your unsightly teeth.
Acclaimed cosmetic dentist Dr. Rod Gleave, a proud member of the American Academy of Cosmetic Dentistry who’s been transforming smiles for more than 30 years, is a graduate of renowned dental training institutions including Las Vegas Institute. With great skill, he applies veneers to the front side of affected teeth. For porcelain veneers, he removes some tooth enamel and places the veneers over just a few visits, while prep-less veneers enable him to apply the coatings to your teeth in one visit. Come see how veneers can return the sizzle to your smile!

Dr. Gleave will take digital photos of your teeth, lip position, and gum height, as well as record your bite. He’ll then take no-fuss impressions of your teeth to better understand their size, position, and bite. Afterward, he’ll discuss with you how many teeth will need veneers. Here comes the fun part: you consult our smile catalog to pick out the shape, size, and desired color for your veneers! It’s totally up to you, but Dr. Gleave will offer his expert opinion to ensure you get the best veneers for your desired results.
We make provisional veneers for you to wear as a “trial smile” to evaluate the look and feel of your new smile. Any changes to tooth position, shape, or color will be communicated to the specialized ceramist who makes your final veneers. When your veneers are ready, we will preview them. If everything looks perfect, Dr. Gleave securely bonds them to your teeth.








Looking for additional ways to improve your smile or maintain your dental health? Explore these services offered by Dr. Gleave to find the treatments that best fit your needs.
Brighten your smile safely and effectively for a whiter, more confident you.
Learn more about Teeth WhiteningSmooth uneven edges and improve tooth shape with tooth contouring, giving you a more balanced and natural-looking smile in one visit.
Learn more about Tooth ContouringFix chips, gaps, and stains with tooth bonding, giving you a smoother, natural-looking smile in just one quick and comfortable visit.
Learn more about Tooth BondingImprove your gum line with gum reshaping, creating a more balanced smile and helping your teeth stand out with natural-looking results.
Learn more about Gum ReshapingAchieve a balanced, beautiful smile with our personalized smile makeover solutions.
Learn more about Smile MakeoverRestore your smile’s health, function, and beauty with full mouth reconstruction tailored to you.
Learn more about Full Mouth Reconstruction