
Replace a missing tooth with a stable, natural-looking implant and restore your smile, function, and confidence.
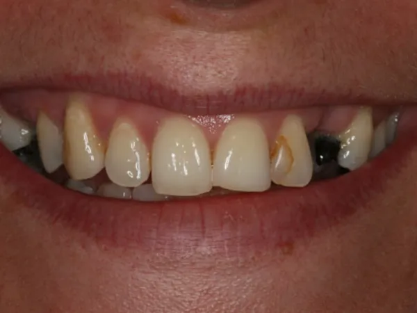
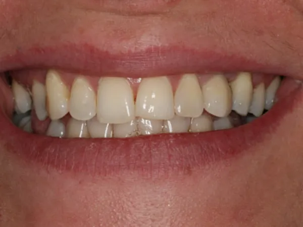
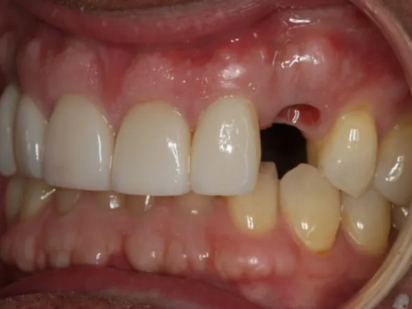
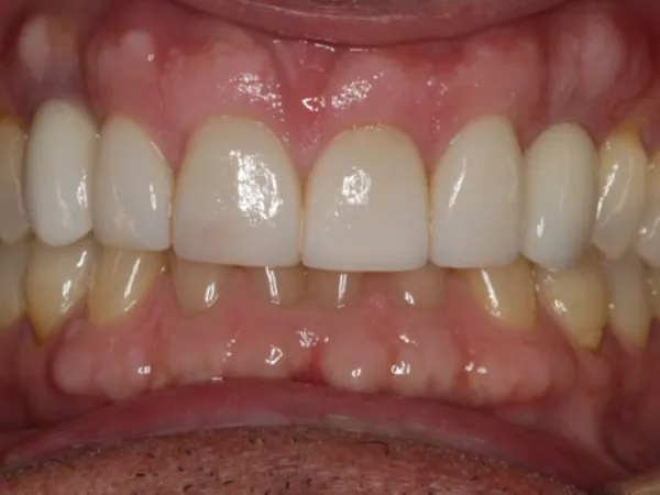
Schedule NowIf you’re missing even one tooth, you may have to make a lot of compromises. You may have to adjust the way you eat or the way you speak. You may become self-conscious about your smile. Don’t compromise your quality of life—reclaim it with dental implants in Salt Lake City, UT. You’ll find the technology and expertise required for a happy, healthy smile, and something more—a 10-year warranty on dental implants—all right here. Dr. Rod Gleave offers comprehensive dental implant care in one convenient location.
Over the course of more than 30 years, and with training from the acclaimed Misch Implant Institute, Dr. Gleave has placed more than 1,000 dental implants. He’s also a proud member of the International Congress of Oral Implantologists, the American Academy of Implant Dentistry, and the American Academy of Cosmetic Dentistry. Suffice it to say he knows how to restore full, functional, attractive, smiles and more fulfilling lives with dental implants! See what he can do for you in a free second opinion.
Watch Dr. Gleave explain common reasons why dental implants may fail and what you can do to prevent complications. In this video, he covers factors such as bone health, oral hygiene, and lifestyle habits that can affect implant success. Learn how proper planning, advanced techniques, and ongoing care help ensure long-lasting, natural-looking results for your smile.
Dental implants do more than replace missing teeth—they restore the way you eat, speak, and smile. With implants, you can enjoy daily activities with comfort, confidence, and a natural look.
If you’re concerned about the cost of dental implants, rest assured Dr. Gleave is committed to helping you afford them. He has enlisted the services of major third-party financing companies to provide you with manageable payment plans. He also accepts many types of dental insurance, and you may even be able to use your medical insurance to help pay for dental implant treatment. Ask us for details!






Looking for additional ways to improve your smile or maintain your dental health? Explore these services offered by Dr. Gleave to find the treatments that best fit your needs.
Replace missing teeth with dental implants that look natural and restore function, helping you eat, speak, and smile with confidence.
Learn more about Dental ImplantsCompare fixed and removable full-arch solutions to find the best way to restore your smile and confidence.
Learn more about Locator DenturesRebuild and strengthen your jawbone to support a healthy, lasting smile with expert bone grafting.
Learn more about Bone GraftingReplace missing teeth with strong, natural-looking, and metal-free zirconia implants for a healthy, confident smile.
Learn more about Zirconia Dental ImplantsRestore all your teeth at once with full-mouth dental implants for a confident, functional, and natural-looking smile.
Learn more about Full Mouth Dental Implants